診療案内

MEDICAL

インプラント

インプラントとは

インプラントとは

インプラント治療とは、人工歯根(インプラント)を失われた歯の部分の骨に埋め込む治療法です。
インプラントは第二の永久歯と言われ、治療を受ける方が急速に増えています。
始めに失われた歯の部分の骨に穴を開けインプラントを埋め込みます。3~6ヶ月間、インプラントを骨にしっかりと結合させます。インプラントの頭の部分に土台を装着します。土台に人工歯を被せるか、または義歯をはめ込みます。
インプラントの素材はチタンで、骨と一体化する性質があります。

インプラントのメリット

インプラントのメリット

歯が全く無い場合も治療が可能です。
固定式なのでしっかりと物を咬むことが出来ます。
食べ物の制限がなく、好きなものを食べることが出来ます。
天然歯と見た目が変わりません。
口の中に異物がある不快感がありません。

インプラントの注意点

インプラントの注意点

歯槽膿漏に注意してください!

インプラントは天然歯ではない為、虫歯になる事はありません。
しかし、治療後の管理を怠ると天然の歯と同様、歯槽膿漏の状態になり、インプラントが抜け落ちることがあります。
口内の衛生状態に気を付け、きちんと定期検診を受けることで、インプラントを長持ちさせられます。

インプラント手術の様子

実際の症例を見ながらインプラントについてご説明いたします。

インプラントを埋め込む

インプラントを埋め込む

こちらの写真は人工歯根(インプラント)を顎の骨に埋め込んだ状態です。
入れ歯やブリッジに比べ、しっかりと物を噛むことが出来るのがインプラントの特長ですが、その理由がこの歯茎に埋め込んだ土台です。

インプラントの上から
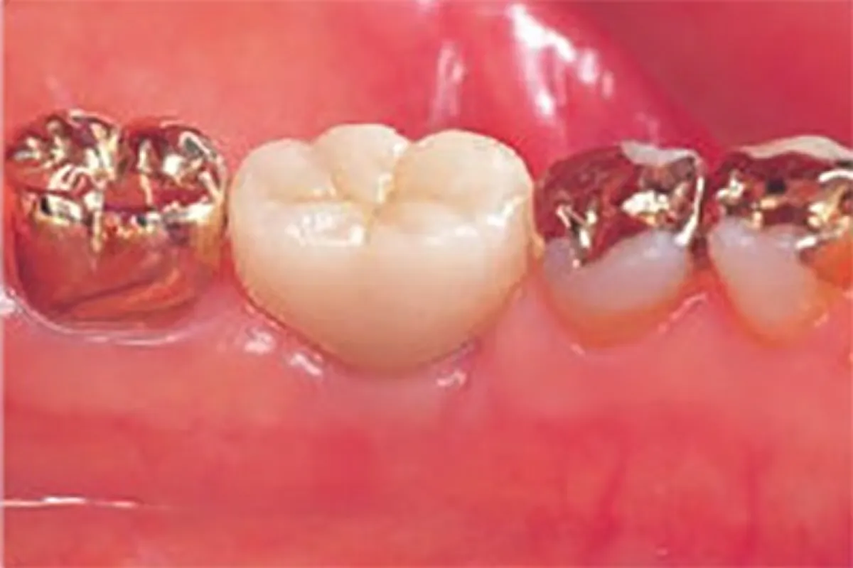
義歯をかぶせる

インプラントの上から義歯をかぶせる

インプラントの上に人口の義歯をかぶせてインプラント手術が完了です。
人口の義歯はセラミックで作られている為、自然の歯と遜色ない見た目を持っています。インプラント手術をしたと言わなければわからないほど自然な仕上がりです。

Q&A

Q

インプラントの寿命はどれくらい?

A

1965年に初めて埋め込まれたインプラントが現在も義歯を支える働きを果たしていることから、長期間にわたって良好に機能することが期待できます。
ただし、衛生状態が良くないと反対に寿命が短くなることも考えられます。定期的なメインテナンスを行いましょう。