診療案内

MEDICAL

ホワイトニング

ホワイトニング

ホワイトニングとは、歯の表面を漂白する方法です。
歯を削らずに行うことができます。最近では歯に対する意識が高まっており、ご利用者、特に若い方が増えております。

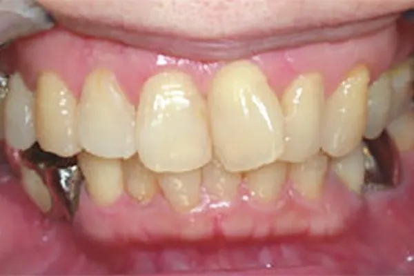
治療前
治療前

歯が白くなくなる原因は、コーヒーやタバコによる着色汚れだけではありません。
歯の内側の象牙質は加齢と共に色が濃くなっていく為、自然と歯が黄ばんで見えてしまうことがあります。
これらの外側からくる汚れや内側からくる汚れはホワイトニングで白くすることが出来ます。

治療後
治療後

こちらがホワイトニング後の写真です。
ホワイトニング治療前のお写真と比べると明らかに歯が白くなっているのがわかります。
白い歯は若々しい印象を与える為、アンチエイジングの効果も期待できます。

費用
50,000円(税別)
治療期間
2週間~
治療回数(目安)
2回

当院のホワイトニング

ホームホワイトニング

当院ではホームホワイトニングと呼ばれる手法を採用しております。
ホームホワイトニングとは、トレー(ビニール製のマウスピース)の上に薬剤を流し込んで、ご自宅で装着していただく方法です。始めに歯型を取り、これをもとにトレーを作製します。
トレー完成後に実際に装着していただいて、問題が無ければ、あとはご自宅でホワイトニングを始める事になります。
期間は約2週間で、毎日1~2時間装着していただきます。
ただし、ホワイトニングでは、銀歯・セラミック冠などは白くすることはできません。

仕上がりに
ご満足頂けなかった場合

保証

白さにご満足頂けなかった場合は無料で歯科医師によるホワイトニング(オフィスホワイトニング)を行ないます。
(※オフィスホワイトニングは、川口の分院、センタービル歯科で行なっております。)

ホワイトニング治療の注意点
(リスク)

  • ホワイトニング剤の濃度などが影響して、オフィスホワイトニング後に歯がしみることがあります。
  • ホームホワイトニングは装着時間を守らないと効果が期待できないため、ご自身で時間を管理していただく必要があります。

Q&A

Q

歯のクリーニングとホワイトニングの違いを教えてください

A

歯のクリーニング(PMTC)は表面の着色汚れをきれいにするものです。
歯の内部的変色や本来の歯の色以上に白くしたい場合は、ホワイトニングをお勧めしております。